Tabram context
listed injuries:
5 wounds (left lung)
2 wounds (right lung)
1 wound (heart)
5 wounds (liver)
2 wounds (spleen)
6 wounds (stomach)
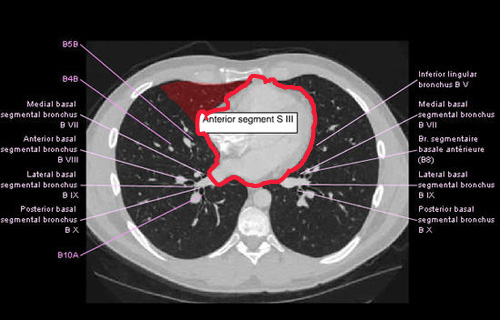
Images with red objects have the red object as the heart. Of note, the sternum does not completely cover the heart, the intercostal spaces are greater than the ribs, and on the silhouette, the heart is 9.52% of the boxed area.
listed injuries:
5 wounds (left lung)
2 wounds (right lung)
1 wound (heart)
5 wounds (liver)
2 wounds (spleen)
6 wounds (stomach)
Images with red objects have the red object as the heart. Of note, the sternum does not completely cover the heart, the intercostal spaces are greater than the ribs, and on the silhouette, the heart is 9.52% of the boxed area.

Comment